Skip to main navigation menu Skip to main content Skip to site footer

Original research

Vol. 4 No. 1 (2026): January/December - 2026

Detection of Calprotectin S100A8/A9 in Inflammatory Bowel Disease by Immunochemiluminescence and Immunohistochemistry

DOI
https://doi.org/10.52600/2965-0968.bjcmr.2026.4.1.bjcmr44
Submitted
April 22, 2025
Published
2025-11-03

Abstract

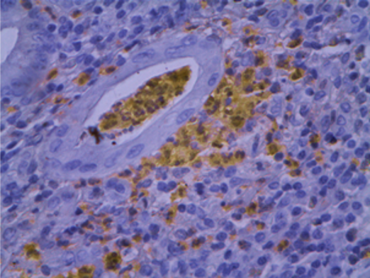
Calprotectin (S100A8/A9) constitutes approximately 60% of the cytosolic protein content of neutrophils and serves as a marker of leukocyte activation and migration, providing valuable insight into the intensity and pattern of inflammation. This study aimed to evaluate the tissue expression and quantification of calprotectin in anorectal samples from patients with inflammatory bowel disease (IBD) using immunochemiluminescence and immunohistochemistry. Anti-calprotectin antibodies were conjugated with acridine ester for chemiluminescent detection and applied to tissue extracts. In parallel, indirect immunohistochemistry was performed on paraffin-embedded anorectal sections from patients with Crohn’s disease and ulcerative colitis, and from non-IBD controls. Quantitative and semiquantitative analyses were compared between groups. Calprotectin levels were significantly elevated in IBD tissues compared with controls (p < 0.05) in both detection methods. The chemiluminescent assay demonstrated higher analytical sensitivity, enabling quantification even in samples with mild histological inflammation. Increased tissue calprotectin reflects enhanced neutrophil infiltration and activation within the intestinal mucosa, corroborating its role as a local biomarker of inflammatory activity in IBD.

References

  1. Iliev ID, Ananthakrishnan AN, Guo CJ. Microbiota in inflammatory bowel disease: mechanisms of disease and therapeutic opportunities. Nat Rev Microbiol. 2025 Aug;23(8):509–524. doi:10.1038/s41579-025-01163-0. Epub 2025 Mar 10. Erratum in: Nat Rev Microbiol. 2025 Aug;23(8):541. doi:10.1038/s41579-025-01175-w. PMID:40065181; PMCID:PMC12289240.
  2. Roda G, Ng SC, Kotze PG, Argollo M, Panaccione R, Spinelli A, et al. Crohn’s disease. Nat Rev Dis Primers. 2020;6(1):22. doi:10.1038/s41572-020-0156-2.
  3. Kobayashi T, Siegmund B, Le Berre C, Wei SC, Ferrante M, Shen B, et al. Ulcerative colitis. Nat Rev Dis Primers. 2020;6(1):74. doi:10.1038/s41572-020-0205-x.
  4. Jarmakiewicz-Czaja S, Tomasik P, Wolkow P, Gierlikowski W, Tomasik PJ. Genetic and epigenetic etiology of inflammatory bowel disease: an update. Genes (Basel). 2022;13(12):2388. doi:10.3390/genes13122388.
  5. Zheng J, Sun Q, Zhang M, et al. Noninvasive, microbiome-based diagnosis of inflammatory bowel disease. Nat Med. 2024;30:3555–3567. doi:10.1038/s41591-024-03280-4.
  6. Alghoul Z, Yang C, Merlin D. The current status of molecular biomarkers for inflammatory bowel disease. Biomedicines. 2022;10(7):1492. doi:10.3390/biomedicines10071492.
  7. Aggeletopoulou I, Konstantakis C, Assimakopoulos SF, Triantos C. Exploring the role of IL-1β in inflammatory bowel dis-ease pathogenesis. Front Med (Lausanne). 2024;11:1307394. doi:10.3389/fmed.2024.1307394.
  8. M’Koma AE. Inflammatory bowel disease: clinical diagnosis and surgical treatment—overview. Medicina (Kaunas). 2022;58(5):567. doi:10.3390/medicina58050567.
  9. Bromke MA, Jarzab A, Jackowski M. Faecal calprotectin in assessment of mucosal healing in adults with inflammatory bowel disease: a meta-analysis. J Clin Med. 2021;10(10):2203. doi:10.3390/jcm10102203.
  10. Cury DB, Mizsputen SJ, Versolato C, Oliveira TS, Amarante HM. Serum calprotectin levels correlate with biochemical and histological markers of disease activity in TNBS colitis. Cell Immunol. 2013;282:66–70. doi:10.1016/j.cellimm.2013.04.004.
  11. Rogler G, Aldequer X, Kruis W, Mottet C, Reinisch W, Andus T. Concept for a rapid point-of-care calprotectin diagnostic test for diagnosis and disease activity monitoring in patients with inflammatory bowel disease: expert clinical opinion. J Crohns Colitis. 2013;7:670–677. doi:10.1016/j.crohns.2013.02.014.
  12. Ferreira EC, Rossi AV. A quimioluminescência como ferramenta analítica: do mecanismo a aplicações da reação do luminol em métodos de análise. Quim Nova. 2002;25:1003–1011. doi:10.1590/S0100-40422002000600018.
  13. Brown RC, Li Z, Rutter AJ, Rawson KJ, Kent G. Development and application of a novel acridinium ester for use as a chemi-luminescent emitter in nucleic acid hybridisation assays using chemiluminescence quenching. Org Biomol Chem. 2009;7:386–394. doi:10.1039/B811947C.
  14. Lima LRA, Bezerra MF, Almeida SMV, Oliveira AP, Beltrão EIC. Glycophenotype evaluation in cutaneous tumors using lectins labeled with acridinium ester. Dis Markers. 2013;35:149–154. doi:10.1155/2013/787130.
  15. Brustein VP, Cavalcanti CLB, Melo-Junior MRM, Medeiros MC, Beltrão EIC. Chemiluminescent detection of carbohydrates in tumoral breast diseases. Appl Biochem Biotechnol. 2011;166:268–275. doi:10.1007/s12010-011-9422-9.
  16. Melo-Rego MJ, Cordeiro MF, Cavalcanti CL, Carvalho-Junior LB, Beltrão EIC. Immunohistochemiluminescence detection: a quantitative tool in breast cancer HER-2 status evaluation. Dis Markers. 2013;34:373–377. doi:10.3233/DMA-130981.
  17. Verstockt B, Verstockt S, De Hertogh G, Van Assche G, Vermeire S. Mucosal tissue biomarkers in inflammatory bowel dis-ease: promises and challenges. Nat Rev Gastroenterol Hepatol. 2022;19(7):439–456. doi:10.1038/s41575-022-00608-1.
  18. Naganuma M, Kunisaki R, et al. Tissue biomarkers in ulcerative colitis and Crohn’s disease: state of the art and perspectives. World J Gastroenterol. 2023;29(25):3897–3912. doi:10.3748/wjg.v29.i25.3897.
  19. Kaplan GG. The global burden of IBD: from 2015 to 2025. Nat Rev Gastroenterol Hepatol. 2015;12:720–727. doi:10.1038/nrgastro.2015.150.
  20. Borowitz SM. The epidemiology of inflammatory bowel disease: clues to pathogenesis? Front Pediatr. 2023;10:1103713. doi:10.3389/fped.2022.1103713.
  21. Mahid SS, Minor KS, Soto RE, Hornung CA, Galandiuk S. Smoking and inflammatory bowel disease: a meta-analysis. Mayo Clin Proc. 2006;81:1462–1471. doi:10.4065/81.11.1462.
  22. Rivera AP, Muñoz L, Gómez DE, Toro MJ, Delgado M. Ulcerative colitis-induced colorectal carcinoma: a deleterious con-catenation. Cureus. 2022;14(2):e22187. doi:10.7759/cureus.22636.
  23. Fengming Y, Jianbing W. Biomarkers of inflammatory bowel disease. Dis Markers. 2014;2014:710915. doi:10.1155/2014/710915.
  24. Lobatón T, López-García A, Rodríguez-Moranta F, Ruiz-Cerulla A, Arajol C, Guardiola J, et al. A new rapid test for fecal calprotectin predicts endoscopic remission and postoperative recurrence in Crohn’s disease. J Crohns Colitis. 2013;7:641–651. doi:10.1016/j.crohns.2013.05.005.
  25. Burri E, Beglinger C, Felten SV, Lehmann FS. Fecal calprotectin and the Clinical Activity Index are both useful to monitor medical treatment in patients with ulcerative colitis. Dig Dis Sci. 2014;60:485–491. doi:10.1007/s10620-014-3383-0.
  26. Dubian S, Gauthier L, Lemoine M, et al. Fecal calprotectin, intestinal ultrasound, and their combination for the diagnosis of inflammatory bowel disease. Clin Res Hepatol Gastroenterol. 2025;49(3):102549. doi:10.1016/j.clinre.2025.102549.
  27. Kotze LMS, Nisihara RM, Marion SB, Cavassani MF, Kotze PG. Fecal calprotectin: levels for the etiological diagnosis in Brazilian patients with gastrointestinal symptoms. Arq Gastroenterol. 2016;52:50–54. doi:10.1590/S0004-28032015000100011.
  28. Walsham NE, Sherwood RA. Fecal calprotectin in inflammatory bowel disease. Clin Exp Gastroenterol. 2016;9:21–29. doi:10.2147/CEG.S51902.
  29. Leach ST, Yang Z, Messina I, Song C, Geczy CL, Cunningham AM, et al. Serum and mucosal S100 proteins, calprotectin (S100A8/S100A9) and S100A12, are elevated at diagnosis in children with inflammatory bowel disease. Scand J Gastroen-terol. 2007;42:1321–1331. doi:10.1080/00365520701416709.